
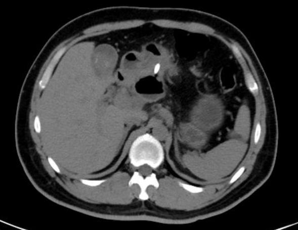
近日,我院鹿泉院区消化内科团队成功实施首例超声内镜引导下的胰腺假性囊肿穿刺支架引流术,为一名中年男性重症急性胰腺炎患者解决了胰头假性囊肿问题,标志着该科室在胆胰疾病诊疗特别是超声内镜介入诊疗技术领域迈...

近日,由省急救医学会主办,我院鹿泉院区心脏超声科承办的河北省第四届负荷超声心动图与超声造影培训班成功举办。本次培训采用小班制教学模式,通过“理论+实践+多学科联动”模式,系统深入的讲授了负荷超声心动图的...

4月25-26日,河北医科大学2025年田径运动会在中山校区运动场隆重举行。在八支职工代表队中,我院代表队以总分561.5分的绝对优势,获得团体总分第一名,蝉联冠军。 开幕式上,我院运动员...

近日,一名15岁少年因脑外伤后遗症突然癫痫发作,在我院鹿泉院区门诊大厅倒地不起,抽搐剧烈并伴随意识丧失,情况十分紧急。 急诊科副护士长丁彦芝、普外一科护士张妹英恰巧路过,见此情景,丁彦芝立即上前,将患者身...

日前,我院认真贯彻学校第四次党代会精神,深入开展“三个老师”活动,走进学生中间,与同学们交流思想、共话成长。 22级临床医学班举行了“白衣誓言...

近期,我院各支部以形式多样的主题党日活动,赓续红色血脉、汲取奋进力量、坚守医者初心,为守护人民健康注入红色动能。 1.联学共建促发展 4月10日,国家卫生健康委公立医院...