新闻公告

鹿泉上新 | 鹿泉院区消化内科完成首例超声内镜引导下胰腺假性囊肿穿刺支架引流术

发布时间:2025-04-27

近日,我院鹿泉院区消化内科团队成功实施首例超声内镜引导下的胰腺假性囊肿穿刺支架引流术,为一名中年男性重症急性胰腺炎患者解决了胰头假性囊肿问题,标志着该科室在胆胰疾病诊疗特别是超声内镜介入诊疗技术领域迈出了坚实的一步。

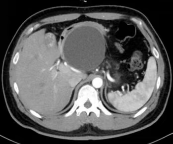
患者为36岁男性,1年前突发中上腹痛就诊当地医院,诊断为重症急性胰腺炎(胆源性、胰腺假性囊肿形成),病情多次复发。入院后行腹部CT提示胰头区可见较大类圆形低密度影,大小约8.9cm*7.3cm,考虑假性囊肿,胰尾渗出,胆囊增大伴瘀胆,邻近局部胰腺、胃腔、十二指肠、门静脉受压、变形等。

为解除患者压迫症状,预防胰腺炎,缓解门静脉高压,在麻醉科张志强团队贾建丽、熊福丽无痛插管麻醉通力合作下,鹿泉院区消化内科王娜、时晓冬带领胆胰亚专业团队李风华、孙东磊顺利完成超声内镜引导下胰腺囊肿穿刺支架引流术,术后患者恢复良好,复查腹部CT囊肿较前明显缩小,顺利康复出院。

术前CT 显示胰头假性囊肿
术前CT 显示胰头假性囊肿
术后CT显示囊肿明显缩小
术后CT显示囊肿明显缩小

近年来,鹿泉院区消化内科在张晓岚教授带领下,不仅坚守其在炎症性肠病、消化道危重症及疑难复杂疾病诊疗领域的专业定位,而且不断积极拓展内镜微创技术的应用,近年来实现了显著的进步和发展。开展一系列消化内镜超级微创特色诊疗技术,包括消化道早癌及癌前病变的内镜治疗(EMR、ESD),消化道黏膜下肿物挖除术(STER、ESE),胆胰系统疾病的内镜诊断及治疗(EUS-FNA、ERCP、胰腺假性囊肿穿刺引流),贲门失弛缓症内镜下肌切开术(POEM),食管胃底静脉曲张内镜套扎及硬化治疗(EVL、EIS),内痔内镜套扎术及硬化剂注射术,阑尾炎的内镜下治疗(ERAT),消化道狭窄的内镜扩张及支架植入术,内镜下胃造瘘术,空肠营养管及肠梗阻导管置入术,经皮胆道引流及胆道支架治疗梗阻性黄疸等技术。这些技术的熟练开展,使该科处理消化系疑难、危重病人的能力达到国内先进水平。

文字 | 李风华