
王贵英书记到肝胆外科病区调研 关键字:调研 7月25日早7点50分,党委书记王贵英在一号住院楼8楼1区肝胆外科病区调研。党委委员、副院长阎雪,党委委员梁韵佳和党办室、院...

我院举行应急手术室竣工仪式! 关键字:应急手术室 7月25日上午,我院在三号住院楼举行应急手术室竣工仪式。党委书记王贵英,党委副书记、纪委书...

【百年二院 世代相承】 我院举行第七期大内科病例讨论 关键字:第七期大内科病例讨论 7月14日,第七期大内科病例讨论活动在大内科主任袁雅冬教授的带领下成功举行。 ...

河北省卫健委评审专家组对我院住培基地进行督导检查 关键字:住培基地 根据河北省卫生健康委《关于开展2022年度住院医师规范化培训基地及助理全科医生培训基地评估工作的...

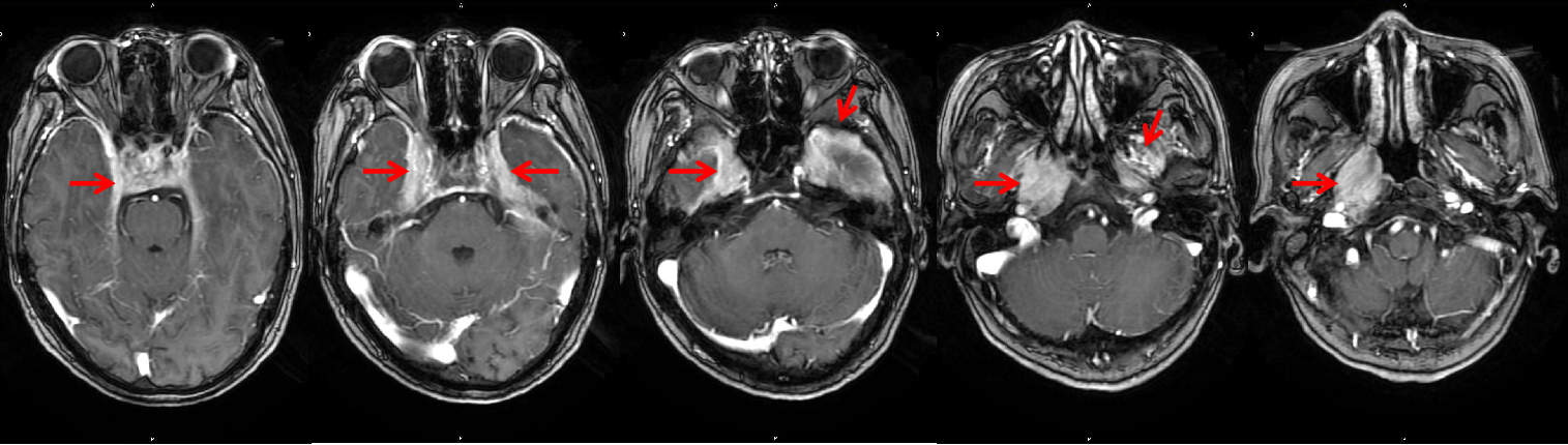
鼻咽癌? 其实是IgG4相关硬化性疾病! ——我院头颈肿瘤MDT团队成功救治一例罕见IgG4相关硬化性疾病患者 关键字:罕见IgG4相关硬化性疾病 2022年4月底,我院放疗科接诊了一...

走进电视台--我院组织专家开展“我为群众办实事”职工健康义诊活动 关键字:“我为群众办实事”职工健康义诊 https://v.qq.com/x/page/r33488z7f66.html?sf=uri ...