新闻公告

鼻咽癌? 其实是IgG4相关硬化性疾病! ——我院头颈肿瘤MDT团队成功救治一例罕见IgG4相关硬化性疾病患者

发布时间:2022-07-22

鼻咽癌? 其实是IgG4相关硬化性疾病! ——我院头颈肿瘤MDT团队成功救治一例罕见IgG4相关硬化性疾病患者

关键字:罕见IgG4相关硬化性疾病

2022年4月底,我院放疗科接诊了一例在当地考虑为鼻咽癌拟行放疗的患者。该患者为女性,65岁,主因右侧头痛1月余,右面部麻木20余天、右眼视力下降伴右耳听力下降半月入院,且入院时合并有高钠血症、低钾血症、低蛋白血症等。MRI报告:1.鼻咽部右侧壁肿物,符合鼻咽癌表现。2.双侧海绵窦、中颅窝底、垂体柄及小脑幕脑膜弥漫性增厚(图1)。患者临床表现,如头痛、视力下降、听力下降等各种颅神经功能障碍,以及影像学上病变部位分布还是符合鼻咽癌表现的。五一假期将近,如果不诊断清楚抓紧定位、画靶区、放疗计划设计等放疗前准备工作,患者治疗可能因假日延后。放疗科在节前的全科查房中,认真梳理了患者所有资料、复阅影像,薛晓英教授认为,该患者MRI虽有鼻咽部异常信号并侵及颅内,结合患者病史及临床表现的确高度怀疑鼻咽癌,但有些不相符的表现,比如:1、患者临床症状进展相对较快;2、鼻咽部及颅内双侧海绵窦区、鞍区的异常信号分布酷似鼻咽癌,但仔细观察其表现不似一般鼻咽癌的实质性肿瘤组织占位表现,而是呈现出貌似炎症般的渗出性征象,且这么大的异常信号范围颈部淋巴结却无肿大,3、复阅当地一月前影像资料,当时右侧鼻咽部并无异常表现,是后来出现的;4、患者此前曾有头部外伤史,不除外颅底区域外伤性感染蔓延至颅内。一番梳理讨论下来大家达成共识——该患者鼻咽癌诊断有疑点,需要排除其他原因,不能除外其他良性病,并决定一方面提交我院头颈肿瘤MDT专家讨论可否有更清晰的临床诊断方向以尽可能早做治疗,同时做鼻咽镜局部取活检明确诊断。

在鼻咽镜检查中,发现镜下鼻咽部粘膜光滑,未见肿瘤性病变(图2),考虑病变位于黏膜下,穿刺活检难以取到,故未取组织,镜下的直观表现不支持鼻咽癌诊断。此期间,患者听力、视力逐渐下降,直至双眼完全失明,听力也很微弱。我们感同身受,十分揪心,患者和家属更是着急万分,多次要求不等病理结果就尽快放疗!但我们深知没有正确的诊断就没有有效的治疗,目前鼻炎癌诊断疑点重重,因此一边对症治疗、一边安抚病人情绪并解释正确诊断的重要性,同时立即召集我院头颈肿瘤MDT成员进行会诊。会诊中,以耳鼻喉一科单春光教授、口腔外科杨威教授、医学影像科高国栋副教授、病理科吴文新教授及放疗科薛晓英教授为首的头颈肿瘤专家团队详细分析梳理了患者的疾病演变过程、临床症状与体征、影像学、鼻咽镜下表现等等,一致认为鼻咽癌诊断疑点重重,需要再次活检明确诊断。建议:1、由耳鼻喉科尽快行鼻内镜下切开活检;2、召集更大范围的MDT联合会诊,讨论是否有其他良性疾病的可能及可能的治疗方案。

第二次MDT会诊,除了原有的科室成员外,还请了神经外科、神经内科、眼科等相关科室参加。会诊集中分析了患者的病情演变过程及全部病历资料,基本同意此前的分析,此时切开活检术已完成,耳鼻喉科专家描述,术中内镜下右侧鼻咽部仍未见肿物,粘膜表面光滑,从右侧咽隐窝处切开粘膜,可见灰白色组织,少许脓性分泌物,高度怀疑炎症可能。病理科以最快速度做出初始的病理判断:目前否定了鼻咽癌的诊断,可能为鼻咽NK/T淋巴瘤或鼻咽特殊少见感染累及颅内或免疫相关疾病?一团云雾笼罩在大家心头,专家们各抒己见,抽丝剥茧,条分缕析,并最终达成一致意见:患者病情进展迅速,不除外免疫相关炎症,为及时争取时机先激素冲击控制病情进展,并进一步完善IgG4/IgG比值、血IgG4等免疫相关检查,并请免疫风湿科会诊。同时为挽救患者几近失明的视力,紧急尝试性地应用了较大剂量的激素治疗。

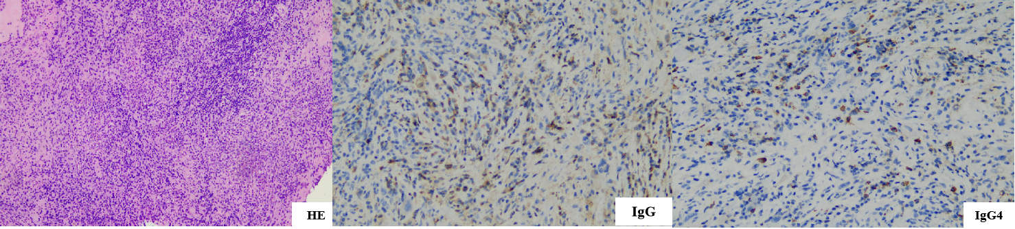
此后所有的诊断和治疗工作都在绿色通道中以最快的速度完成。病理科加急加做IgG4/IgG比值并最短时间内发布报告:可见大量浆细胞、淋巴细胞浸润及中性粒细胞浸润,纤维组织增生,免疫组化:IgG4/IgG比例约40%,热区IgG4阳性细胞数约20个/HPF,倾向IgG4相关硬化性疾病(图3)。终于在大家齐心协力下拨云见日,看清了这一罕见病的面目。而此时,及时的激素冲击治疗已使患者的视力和听力均迅速好转,并转至免疫风湿科继续治疗。

IgG4相关硬化性疾病是由免疫介导的慢性炎症伴纤维化疾病,临床表现复杂多样。由于该病发病率极低,全球对该病认识尚不充分,直到2021年国内才统一意见,制定了首个专家共识。作为罕见病,尽管IgG4-RD是一种良性炎症性疾病,少数患者有自愈倾向,但多数患者病程呈逐渐进展趋势,可能导致重要脏器功能障碍,甚至危及生命。激素目前仍是大多数患者的一线治疗药物。该患者病变累及颅内及垂体并可能有垂体功能异常,病情危急,但在激素冲击治疗后视力、听力明显恢复,并进一步转入免疫风湿科治疗,避免了误诊误治,避免了盲目放化疗。

我院头颈肿瘤MDT,以耳鼻喉科、口腔外科、放疗科、医学影像科、病理科为核心成员,必要时邀请其他相关科室,按照MDT的国际惯例以联合门诊的形式固定时间、固定地点、固定人员解决头颈肿瘤疑难患者的诊疗难题,具有完善的全程管理机制,大大降低了病人转诊的困难及辗转多个科室的繁琐流程,避免了许多患者的误诊误治,保证了头颈肿瘤患者诊治的规范化、精准化和个体化,相信在医院党委和各级职能部门的帮助下,我院头颈肿瘤MDT将为更多的患者带去福音。

该病例的准确诊断和成功救治,体现了广大患者对我院诊疗技术的信任,体现了多学科协作所展现出来的强大优势,更体现了我院头颈肿瘤MDT在疑难、罕见和复杂病例疾病的诊疗水平和实力。依托我院百年积淀雄厚的综合实力,相信头颈肿瘤联合门诊将不断提高诊治的规范性及准确性,提升患者的就医体验,切实为实现医院高质量发展和健康河北建设贡献自己的最大力量。(张歌)

点击量:8934
编辑:宣传部 李欣然
2022-07-22 17:59:06