
时保军院长、阎雪副院长督导疫情防控工作 关键字:督导疫情防控工作 3月14日上午,时保军院长、阎雪副院长带领院办室、感染控制处、医务处、护理部、后勤保障部、安全工作...

开展住培院级督导,促进教学水平提高 关键字:开展住培院级督导 促进教学水平提高 为切实提高我院各科室教学活动质量,保证院区间教学均衡发展,3月10日上午,院级教学督...

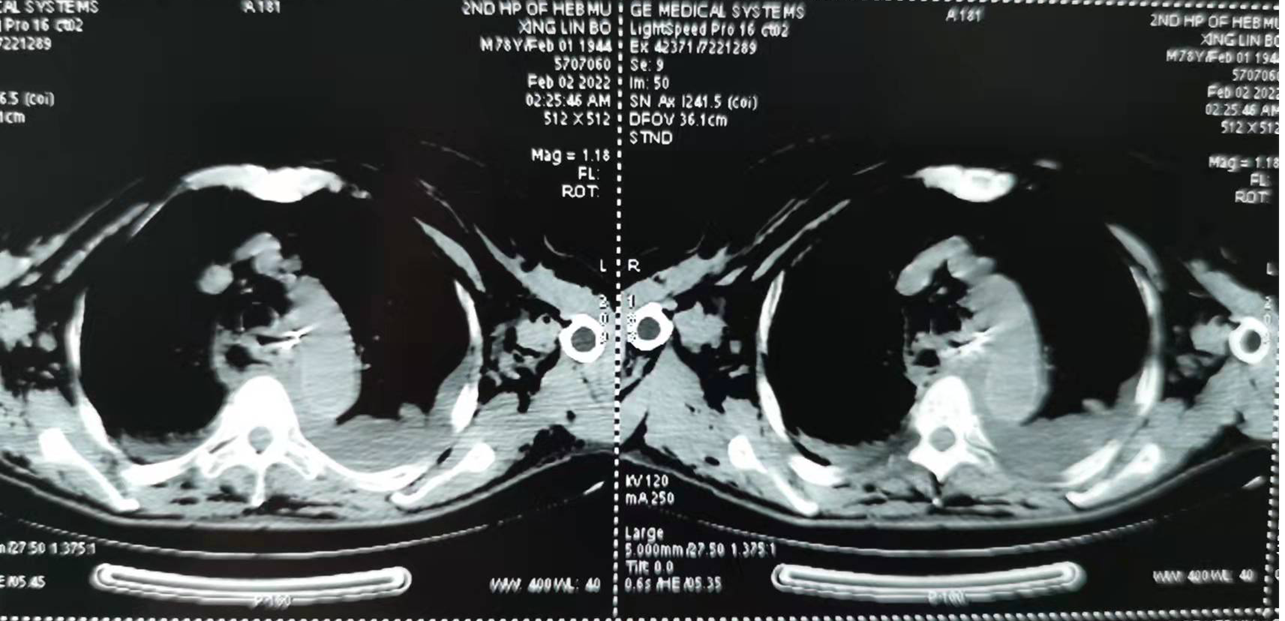
我院成功救治一例高龄食管异物穿孔并纵隔感染患者 关键字:胸外科 近日,我院胸外科与消化内科、麻醉科、手术室、急诊ICU精诚合作,成功治疗一例食管异物伴感染,同时合并...

腹膜透析开启了她的美丽人生——肾内科为一名尿毒症患者进行腹膜透析管置入术 关键字:腹膜透析 3月8日是国际劳动妇女节,对于一年轻女性尿毒症患者而言,意义重大。在这...

不负重托 冬奥有我|点赞冬奥村综合诊所的“非”医护工作者 关键字:点赞 冬奥村 “非”医护 在张家口冬奥村综合诊所里,有来自29家医疗机构的近2...

教务处召开2021-2022-2学期第一次脱产教师例会 关键字:2021-2022-2学期第一次脱产教师例会 为认真落实“立德树人”根本任务,进一步提升我院脱产教师的整体教学和育人水...