
致敬深耕守医者,薪火相传促发展。 2月3日,在新春佳节即将来临之际,学校党委书记于树江亲切走访慰问了中国工程院院士李春岩教授和国医大师姚希贤教授,学校党委常委、副校长、我院党委书记王贵英走访慰问了学校、...

立春,为二十四节气之首,标志着春天的开始。此时阳气渐升,万物复苏,春季肝气生发,养生也应顺应自然规律,注重调养肝气、保护阳气、疏肝理气、防寒保暖。来听听医生的立春节气养生建议。 养肝护肝 ①饮...

在近日举行的巴州人民医院2025年度工作总结暨表彰大会上,一个以往在领奖台上鲜见的身影——放疗科,成为了聚光灯下的焦点。在我院援疆专家、巴州人民医院放疗科副主任张玉峰的带领下,该科一次性囊括 “科技创新先进...

在“评价HSK39297片治疗原发性IgA肾病的有效性和安全性的随机、双盲、安慰剂平行对照的Ⅱ期临床试验”项目中,我院肾内科获得了全国入组第二的好成绩。 IgA肾病是我国最常见的原发肾小球疾病,长久以来由于缺乏有针...

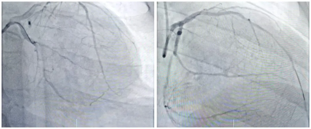
近日,我院心血管内一科团队成功为一名辗转多家三甲医院、濒临换心的37岁重症心脏病患者实施 IABP(主动脉内球囊反搏)支持下双支闭塞病变开通术,这场历时43分钟的精准手术,为患者重燃生命希望,展现了我院在重症心...

2024 年12月,马菲妍作为眼科援疆专家来到巴州人民医院,正式开启了在疆工作的临床与管理实践。初到边疆,她最直观的感受并非陌生,而是一种沉甸甸的使命感——这片土地,从来都与坚守和担当紧密相连。 面对巴州地区...