
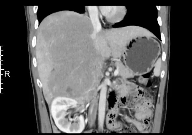
近日,河北医科大学第二医院普外一科在多学科团队的紧密协作下,成功为一名患者精准切除18公分巨大腹膜后肿瘤。这一高难度手术展现了医院在复杂手术领域的精湛技艺和雄厚实力,彰显了我院多学科医护团队面对复杂病情...

近日,河北省教育厅下发了《关于公布2024年河北省普通本科院校教学名师和优秀教学团队名单的通知》。河北医科大学第二医院儿科学教学团队获评“河北省普通本科院校优秀教学团队”。 “儿...

近日,河北医大二院全科医疗科举办了“周末专家河北行”学术交流系列活动,首都医科大学全科医学与继续教育学院吴浩院长应邀来我院学术交流。全科医疗科主任王荣英教授,河北医科大学第一、第三、第四医院,河北省人...

近日,河北医大二院小儿外科李索林教授团队成功完成一例9月龄婴儿多病灶肺囊腺瘤精准病灶切除,术中应用荧光导航技术,精确切除两肺叶组织内病变,避免了正常肺组织的损失,最大程度保护了肺功能。手术仅用时1小时左...

初秋时节,微风拂面,水绿青山明。 9月6—8日,由中国医药卫生事业发展基金会、河北省医学会内科学分会、河北省老年医学会消化专业委员会主办,河北医科大学第二医院承办的燕赵消化疾病与肠道微生态论坛暨河北省太行...
蕙兰思化雨,桃李谢春风。又是一年金风送爽时,我们满怀敬意地迎来了40个教师节。此刻,医院党委谨向在医院教学岗位上默默耕耘、辛勤付出的全体教师致以最深的节日祝贺与最高的敬意! 作为一所集医疗、教学、科研、...