近日,我院鹿泉院区胸外科李书军团队,使用国内首创的肺结节标记物放置定位设备,顺利完成1例肺结节AI-AR导航下术中定位手术,利用“人工智能+增强现实”相结合的技术,开启肺结节术中无痛定位新篇章。
患者56岁,CT检查发现左肺下叶存在肺小结节。治疗通常需在CT引导下进行肺结节定位,但在实际操作中面临挑战:胸部肋骨、肩胛骨的遮挡,肺内丰富的血管及支气管分布,呼吸运动导致的结节位置变化等,均增加了定位难度。此外,操作过程中常需多次CT扫描以调整定位针位置,并在患者清醒状态下进行,会伴有一定疼痛与焦虑,也存在空气栓塞、气胸等潜在风险。综合考虑上述因素,李书军团队最终选择采用AI-AR导航设备,为患者实施左侧卧位导航下术中定位术。
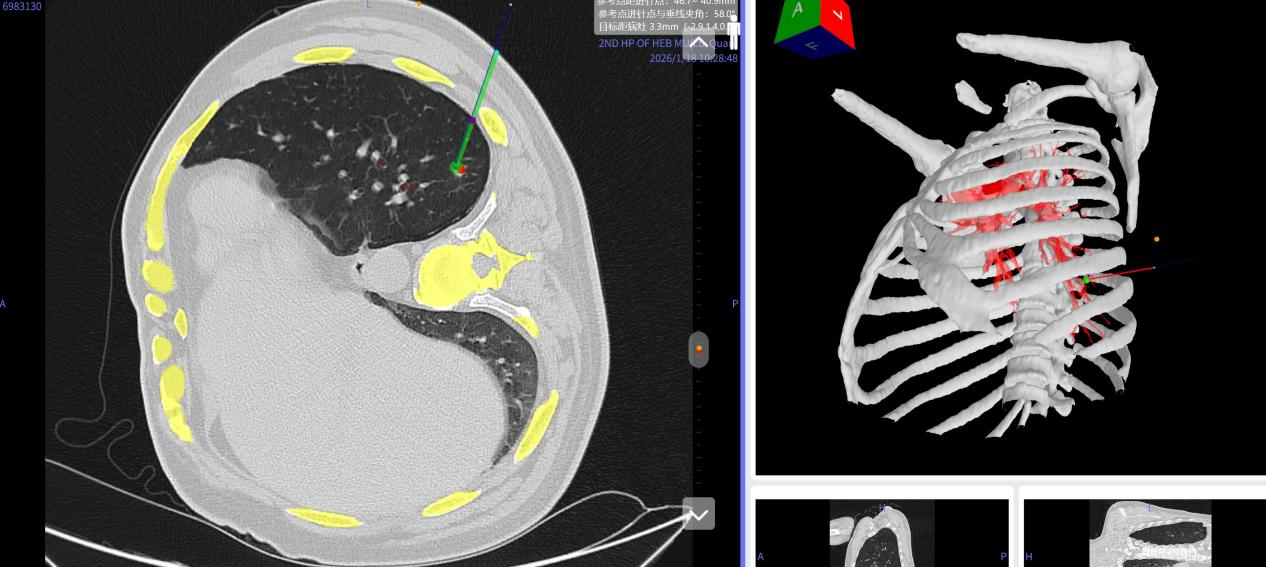
手术当日,患者接受全身麻醉后取侧卧位。李书军教授佩戴VR眼镜开始实施定位。在人工智能技术的驱动下,患者的肋骨、支气管、肺组织及血管等胸部结构,连同其呼吸动态,均以三维立体的形式实时呈现在视野中。
借助虚拟与现实融合的手术场景,医生将视线聚焦于患者病灶区域,通过调整视角精准锁定结节位置。随后手持一枚“伞形”三维标识定位穿刺标记物,依照系统导航提示,沿术前规划好的穿刺路径,精准避开肋骨与血管,将标记物顺利送达目标位置并释放。该“伞形”标记物采用自膨自锁的钝形设计,释放时可瞬时轻柔地推开周围组织与血管,不仅降低了出血风险,也实现了更稳固的锚定。整个定位过程仅用时不到5分钟。
定位完成后,李书军教授随即为患者施行了胸腔镜(VATS)楔形切除术。术后病理检查显示,切除的肺组织内,“伞形”标记物与肺小结节位置紧邻,定位精确无误,突显了“人工智能+增强现实”相结合的技术的优势。
供稿 | 鹿泉院区胸外科