新闻公告

河北医大二院鹿泉院区神经外科攻克一例罕见病,帮助患者重见光明

发布时间:2024-06-28

术后第一天,右眼视力恢复到足以看清1米外的手指。

术后第三天,右眼视力清晰辨认3米远处的物体,左眼视力完全康复。

术后第五天,双眼视力完全恢复!

……

近日,河北医大二院鹿泉院区神经外科吴建梁教授团队成功为一位罕见的视神经海绵状血管瘤患者进行了病变完整切除手术,挽回了她失明的视力,创造了一个医学的奇迹。

据悉,视神经海绵状血管瘤是一种极其罕见的疾病,全世界报道不足100例,国际治疗经验极为有限。本例手术的成功,标志着我院罕见病治疗再上新台阶。

孙女士,一位年仅31岁的患者,因突发视力下降而紧急入院。入院时,右眼视力已完全丧失,无光感;左眼视力也仅能看到3米左右的手指。

经过详细检查,诊断为视神经海绵状血管瘤。面对国内外治疗经验几乎为零的挑战,吴建梁教授团队查阅国内外相关资料,结合该病临床特点对治疗方案深入讨论,最终决定紧急手术挽救患者。

术中,在麻醉科、手术室的紧密配合下,吴建梁团队迎难而上,凭借处理复杂疑难手术的丰富经验和精湛技术,成功完整切除病变。术后,护士长韩海娥护理团队制定了周密的护理计划,持续监测患者病情。在医护人员的精心照顾下,孙女士的视力逐渐恢复,重见光明。

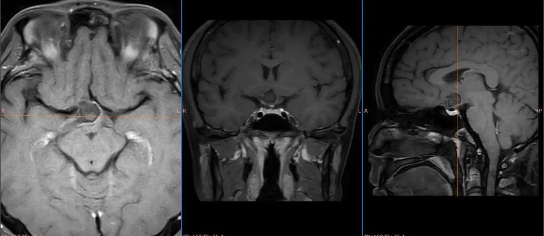
术前影像

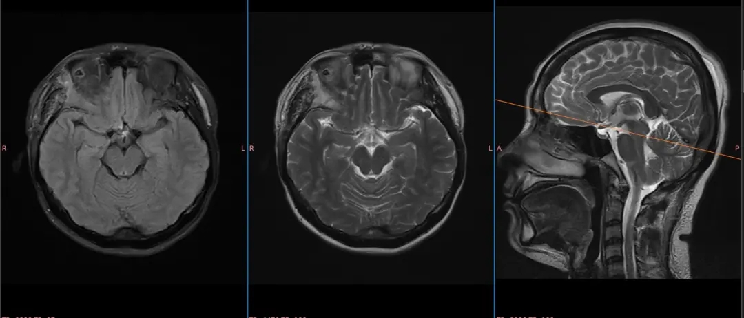
术后影像

吴建梁教授表示,视神经海绵状血管瘤罕见,治疗难度大。感谢患者及家属的信任和支持,更感谢团队和医院相关科室的辛勤付出和无私奉献。手术的成功,展现了我院神经外科医疗团队的专业实力和协作精神,凸显了他们不畏挑战、迎难而上的勇气与担当。

未来,我院神经外科将不断探索、创新医疗技术,尊重生命,关爱患者,为更多患者的康复带来希望。

文字 | 吴阳

编辑 | 赵文龙

审改 | 陈世文