新闻公告

我院鹿泉院区成功实施门静脉海绵样变性患者腹腔镜下胆囊切除术

发布时间:2024-05-17

近日,我院普外一科刘润田教授团队成功为一位门静脉海绵样变性的患者实施腹腔镜下胆囊切除术。术后患者病情平稳,48小时恢复良好出院。

患者多年前发现胆囊结石,但因其患有门静脉海绵样变性,易导致术中大出血等状况,风险太高,多家医院建议保守治疗。随着时间的推移,患者症状逐渐加重,且结石由沙砾状发展为多发块状,为摆脱疾病的困扰,患者来到鹿泉院区要求手术治疗。

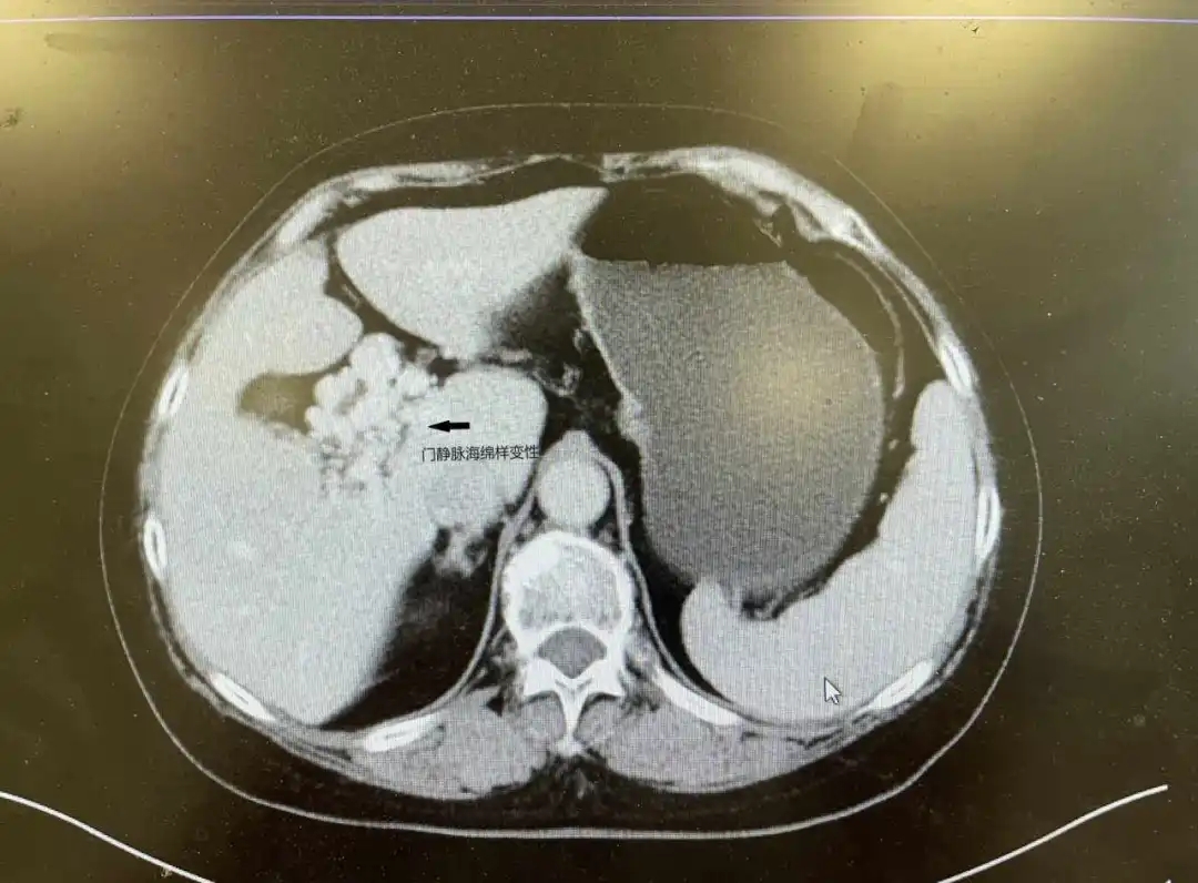
门静脉海绵样变性 (CTPV)是指各种原因所致的门静脉主干和/或它的分支完全或部分阻塞后十二指肠韧带内形成海绵状扭曲的侧枝血管网,可形成门-门分流及门-体分流,使门静脉再通所致的一种代偿性病变,由于大体标本切面呈海绵状血管瘤样改变,故称为海绵样变性。部分CTPV分型可能在肝门部及胆囊床处形成蜂窝状血管团,在胆囊切除手术过程中,如血管损伤则会导致大出血,危及生命,因此确定血管病变的范围极其重要。

刘润田接诊病人后分析认为,虽然患者存在门静脉海绵样变性,但总体风险可控,充分的术前准备以及优秀的医疗团队可以应对该手术。在经过科室讨论后,决定为患者安排手术治疗。

术前讨论中,刘润田会同科室王文耀主任、张鸿飞、闫长青等多位专家仔细查阅了患者的增强CT,并针对胆囊区域的门静脉侧枝制定处理方案。针对术中可能面临的大出血,术前请麻醉科张山教授会诊,制定了个体化的麻醉方法及出血处理应急预案。

术中,刘润田团队在麻醉科、手术室医护专家的紧密配合下,仅用时15分钟就成功实施手术,精细解剖下最大程度减少了创伤,避免了术中大出血的可能。在普外一科医护团队的精心治疗护理下,患者手术当日开始进流食,第二天恢复术前状态,康复出院。

我院鹿泉院区普外一科是全国临床重点发展专科、河北省医学重点专科,对肝脏、胰腺、胆囊、脾脏及胃肠等部位的常见病诊治处于国内领先水平,在疑难、复杂疾病的诊断以及手术治疗方面积累了丰富的临床经验。未来,该科室将不断提升医疗技术实力,通过专业的医疗团队、综合性诊疗、跨学科协作、全程跟踪管理和人文关怀等,为患者提供优质的医疗服务,让患者就医满意放心。

文字 | 唐淼

编辑 | 王欣宇

审改 | 陈世文