English 患者版
医院动态

双支闭塞、多脏器受损,37岁重症冠心病患者重获“心”生

近日,我院心血管内一科团队成功为一名辗转多家三甲医院、濒临换心的37岁重症心脏病患者实施 IABP(主动脉内球囊反搏)支持下双支闭塞病变开通术,这场历时43分钟的精准手术,为患者重燃生命希望,展现了我院在重症心血管疾病救治领域的技术实力与责任担当。

患者郑先生今年37岁,两个月前无明显诱因出现间断胸闷、气短症状,活动后症状加重,还伴随出汗、咳嗽咳痰等表现,病情持续恶化。他先后到顶尖心血管专科医院求医未果,到我医院心血管内一科特需门诊时,已出现夜间无法平卧的严重心力衰竭症状,生命垂危。

一系列检查结果为郑先生的病情敲响了警钟。其心衰指标NT-Pro BNP高达21666.00pg/ml,远超正常范围;心肌酶、肝肾功能、电解质等多项指标显著异常,其中肌酐升至421.3μmol/L,提示心、肾等多器官功能已受到累及。心脏磁共振检查显示,郑先生左心室壁存在弥漫性心内膜下异常信号,考虑为心肌梗死,同时伴随全心扩大、二尖瓣返流及心包积液。床旁心脏超声进一步证实,其左心扩大、全心收缩功能减低且合并肺动脉高压,射血分数仅为21.7%——远低于正常标准,意味着心脏泵血功能已严重受损。

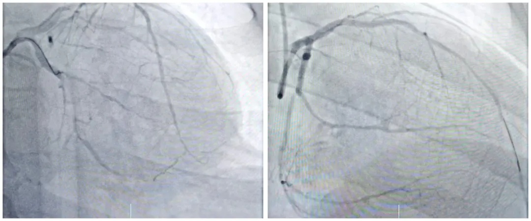
冠脉造影检查结果更是雪上加霜。检查显示,郑先生前降支近中段最重狭窄达95%,回旋支自中段完全闭塞,右冠脉全程弥漫性狭窄70%-95%,属于典型的高危复杂冠脉病变。更棘手的是,郑先生既往患有高血压、2型糖尿病,且血糖控制不佳,两个月前还曾因肺部感染接受抗感染治疗,多重基础疾病进一步增加了救治难度。

面对郑先生“双支闭塞+多支重度狭窄”的高危病变,以及心功能极差、多脏器功能受损的复杂病情,我院心血管内一科团队第一时间启动全院多学科会诊,联合相关科室专家进行全面评估。考虑到患者已处于终末期心衰,合并肝肾功能不全、肺部感染等多脏器问题,对长时间手术的耐受性极差,团队最终制定了“短时间、高精度”的个体化救治方案——IABP支持下双支闭塞病变开通术。

IABP(主动脉内球囊反搏)是重症冠心病患者介入治疗中的重要循环支持手段,通过精准的球囊充气与放气,可有效增加冠脉灌注、改善心脏功能,为高危PCI(经皮冠状动脉介入治疗)手术保驾护航,显著降低手术风险。

手术过程中,心血管内一科团队凭借丰富的介入经验与精湛的操作技术,在IABP的精准支持下,精准定位闭塞血管,小心翼翼地开通病变血管、植入支架。整个手术在患者清醒状态下进行,仅用时43分钟,便成功开通回旋支完全闭塞病变及右冠脉弥漫性重度狭窄病变,顺利完成血运重建。术后,郑先生的恢复情况超出预期,胸闷、气短等不适症状显著缓解,心衰指标大幅下降,受损的肾功能也逐渐恢复正常。目前,郑先生生命体征已趋于平稳,已顺利出院,逐步回归正常生活。

未来,我院将持续深耕心血管疾病诊疗领域,以更先进的技术、更优质的服务,为广大患者的生命健康保驾护航。

文字 | 刘德敏

点击量:377
编辑:宣传部 李晴
2026-02-02 18:01:04
版权所有 @ 2012 河北医科大学第二医院  冀ICP备13012181-2号   冀公网安备 13010502002051 
地址:河北省石家庄市和平西路215号  邮编:050000  总机:0311-66002999  邮箱:pub@hb2h.com
技术支持:天津市方卫信息系统工程技术有限公司